تقويم وتجميل الأسنان
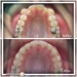
جمال الإبتسامة العريضة وتحسن ارتصاف الأسنان هو هدف المعالجة التقويمية ..
ضحكة المريض من القلب هي هدف مركزنا !
تمت بيد الأخصائي الدكتور محمد الضاهر
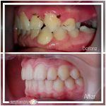
جمال الإبتسامة العريضة وتحسن ارتصاف الأسنان هو هدف المعالجة التقويمية ..
ضحكة المريض من القلب هي هدف مركزنا !
تمت بيد الأخصائي الدكتور محمد الضاهر
جميع الحقوق محفوظة - عجاج لتقويم وزرع وطب الأسنان التجميلي - print(Date("Y")); ?>
تصميم وبرمجة المنهل لحلول الانترنت